Volume 18, Issue 6 (Nov-Dec 2024)                   mljgoums 2024, 18(6): 12-14 | Back to browse issues page


XML Print


Download citation:
BibTeX | RIS | EndNote | Medlars | ProCite | Reference Manager | RefWorks
Send citation to:

Uzma F J, L S, S P. Overdiagnosis of epithelial abnormalities in atrophic cervical pap smears unmasking overdiagnosis in atrophic pap smears. mljgoums 2024; 18 (6) :12-14
URL: http://mlj.goums.ac.ir/article-1-1734-en.html
1- Department of Pathology, Vydehi Institute of Medical Sciences and Research Centre, Bangalore, India , fasahatuzma@gmail.com
2- Department of Pathology, Vydehi Institute of Medical Sciences and Research Centre, Bangalore, India
Full-Text [PDF 354 kb]   (1301 Downloads)     |   Abstract (HTML)  (4513 Views)
Full-Text:   (1136 Views)
 Introduction
Worldwide, cervical carcinoma is the fourth most common cancer in women (1,2). Fifty years ago, carcinoma of the cervix was the leading cause of cancer mortality in women in the United States. Eventually, the death rate declined by 75%, and it became the thirteenth leading cause of cancer mortality. Compared to other forms of cancer, cervical carcinoma has shown the remarkable benefits of effective screening, early diagnosis, and treatment (3,4). This is due to the effectiveness of the Pap test in detecting precursor lesions, some of which would have progressed to carcinoma if not treated (3). In addition, the Pap test helps detect these lesions at an early stage and thus allows for effective treatment (1).
The Pap test, along with the Bethesda terminology, has helped in the interpretation of these precursor lesions (1). The classification of these precursor lesions has been updated over time. As the decision for treatment is now either observation or surgery, the older three-tier classification system has recently been simplified to a two-tiered system with cervical intraepithelial neoplasia (CIN) (5).
The Pap smear test, being the standard screening test for cervical dysplasia, still has its false positives and false negatives. One of the reasons for these false positives could be a Pap smear associated with atrophy-related changes. Atrophy is a normal aging phenomenon associated with a lack of hormonal stimulation, leading to a thinned-out epithelium that consists only of immature basal/parabasal cells (6).
The changes that will be noted in atrophic smears would be flat, monolayer sheets of parabasal-like cells with preserved nuclear polarity and little nuclear overlap. Dispersed parabasal-type cells may predominate and may have mild hyperchromasia, tending to have more elongated nuclei. Autolysis may result in the presence of stripped nuclei. An abundant inflammatory exudate and basophilic granular background, resembling tumor diathesis, may be present in examples of extreme atrophy (7,8).
We aim to highlight the importance of knowing the mimickers of intraepithelial abnormalities and/or malignancy in Pap smears, of which co-existing atrophy forms the majority.

Methods
In this retrospective study conducted in the Department of Pathology, Vydehi Institute of Medical Sciences and Research Centre, Bengaluru, a total of 11,680 cases were received over a period of 7 years and 6 months, from 1st January 2016 to 30th June 2023. Cervical cytology was performed as part of the cervical carcinoma screening guidelines at the discretion of the clinician after obtaining informed consent. All Pap smears were prepared using SurePath (U-prep, Liquid-based cytology). We reviewed 56 cases that were interpreted as having intraepithelial abnormalities or malignancy in cervical cytology Pap smears. Of these 56 cases, 40 (71%) were also found to have atrophy-related changes. Twenty-two cases were followed up by cervical biopsy and histopathological evaluation in our hospital. Both cervical cytology Pap smears and biopsies were reviewed. The classification of low-grade squamous intraepithelial lesion (LSIL), CIN II, and CIN III has been merged into a single category referred to as high-grade squamous intraepithelial lesion (HSIL), as represented in Table 1. Ethical clearance was obtained from the institutional ethics committee.
Data were entered into a Microsoft Excel spreadsheet and analyzed using SPSS version 22 (IBM SPSS Statistics, Somers, NY, USA). Categorical data were represented as frequencies and proportions. The sensitivity, specificity, positive predictive value, and negative predictive value were calculated.

Table 1. Classification of precursor lesions of cervical carcinoma

Results
The mean age of subjects was 50.30 ± 10.9 years (Table 2). Out of 56 cases interpreted as intraepithelial abnormality or malignancy in cervical Pap smears, 40 smears (71%) also had atrophy-related cytological changes, as shown in Figure 1. Twenty-two cases that were reported as intraepithelial abnormality or malignancy were followed by cervical biopsy and histopathological evaluation for confirmation. Sixteen (40%) of these 40 smears with coexistent epithelial abnormality and atrophy had follow-up biopsy reports available. Eight of these 16 biopsies (50%) confirmed the presence of dysplasia greater than CIN II. As represented in Table 3, the total number of smears with coexistent epithelial abnormality and atrophy was 40.
Out of these, 10 smears (25%) were interpreted as Atypical Squamous Cells of Undetermined Significance (ASCUS), 11 smears (27%) were interpreted as LSIL, 17 smears (42%) were interpreted as HSIL, and 2 smears (5%) were interpreted as having carcinoma. Most of the cervical Pap smears with atrophy-related changes were in the HSIL group.
Sixteen cases interpreted as having intraepithelial abnormality by cervical Pap smears did not have atrophic changes. Of these, eight smears (50%) were found to have ASCUS, three smears (19%) were interpreted as LSIL, and five smears (31%) were found to have HSIL.
Table 2. Age distribution of patients



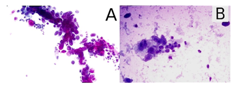
Figure 1. (A) Left: Routine cervical cytology in a perimenopausal woman showing a cluster of cells with nuclear hyperchromasia and crowding. (B) Right: Liquid-based cytology showing a group of hyperchromatic and degenerated nuclei against a background of atrophy with lysed cells and debris

Table 3. Tabular representation of interpretation of cervical pap smears
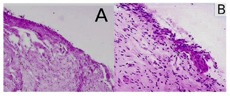
Most of the cases interpreted as having intraepithelial abnormality by cervical Pap smears with coexistent atrophy-related changes were not actually found to have high-grade dysplasia on follow-up biopsies, as shown in Figure 2 and by the data in Table 4.
Out of the total 40 cases with intraepithelial abnormality and coexistent atrophy-related changes, follow-up biopsy results were available in 16 cases, of which eight smears (50%) were confirmed to have dysplasia greater than CIN II on biopsy (Table 4). This shows that the positive predictive value of cervical Pap smears in the setting of coexistent atrophy-related changes is only 50% (8/16). Unfortunately, the number of follow-up biopsies was very low.
Table 4. Tabular representation of comparison of results of pap smears and follow-up biopsy



Figure 2. (A) Left: H&E, 4x magnification; (B) Right: H&E, follow-up cervical biopsy showing superficial atrophic squamous epithelium

Discussion
In our study, out of 56 cases interpreted as intraepithelial abnormality or malignancy in cervical Pap smears, 40 smears (71%) also had coexistent atrophy-related cytological changes. The majority of these (40%, 17/40) were reported as HSIL. This was not the case in the study done by Li et al. (1), where the majority of the cases belonged to the ASCUS category in both atrophic and non-atrophic smears. The positive predictive value of cervical Pap smears in the setting of atrophy-related changes to detect dysplasia greater than CIN II in the present study was 50%, which was in concordance with the study conducted by Li et al. (1), who had a PPV of 54%.
Patton et al. (9) reviewed Pap tests over a period of 3 years and 10 months, from March 2003 to December 2006, that were diagnosed as ASC-H and divided them into postmenopausal, pregnant, postpartum, and contraceptive-use categories. Correlation was made with results from tissue specimens and/or from Digene Hybrid Capture II for human papillomavirus. A total of 195 cases were retrieved, and 135 cases (69.2%) had histologic follow-up. The frequency of high-grade follow-up in the postmenopausal category was compared with the frequency of high-grade follow-up in the other patient groups using the chi-square test. There was a statistically significant difference between the frequency of subsequent high-grade follow-up in the postmenopausal group and the other patient groups.
Bulten et al. (10) propose that, due to reduced levels of oestrogen in postmenopausal women, atrophic squamous epithelium of the cervix shows substantially diminished maturation, which mimics dysplastic epithelium of high-grade cervical intraepithelial neoplasia (CIN 2 and 3). This “atypical” atrophic Pap smear in postmenopausal women is repeated after a course of systemic or locally applied estrogens, which allows the atrophic epithelium, in contrast to dysplastic epithelium, to mature into normal squamous epithelium. In the study, Pap smears of postmenopausal women with an atypical atrophic Pap smear, who underwent a second Pap smear after oestrogen treatment for a definite diagnosis, were used for the MIB1 restaining procedure. The proliferative activity index (PAI) values were measured in MIB1 restained Pap smears obtained before and after oestrogen therapy. They concluded that the majority of women with cervical atrophy had PAI < 0.17, and all patients with high-grade CIN had PAI > 0.17. They concluded that PAI can be a cost-effective method to obtain a considerable reduction in additional diagnostic procedures in postmenopausal women with an atypical Pap smear, where atrophy can be a differential diagnosis. High-grade CIN can be correctly referred, without delay, to the gynaecologist for further treatment. 
Tabrizi (11) states in their review article that atrophic Pap smears may be misinterpreted as having epithelial abnormality in postmenopausal women. This is due to the abundance of parabasal cells, which have relatively less cytoplasm and a high nuclear/cytoplasmic ratio, condensed nuclear chromatin that leads to nuclear hyperchromasia, and the presence of parakeratotic cells, which are also noted in LSIL. The inflammatory cell debris clinging to cytoplasmic borders should not be interpreted as tumor diathesis.
Crothers et al. (12) describe that when estrogen levels decrease in women, cervical and vaginal epithelium thins. The epithelium ceases to produce superficial and intermediate squamous cells, leaving only parabasal and basal cell populations. Initially, these cells are exfoliated as single cells or small groups of metaplastic-appearing cells, but with advanced atrophy, the epithelium becomes so thin that large surface fragments of parabasal cells exfoliate and may predominate. In their study, they reviewed 18,302 participant responses to 717 Pap slides from 2000 to 2009. For purposes of selection into the program, a slide would not be submitted as both atrophic vaginitis and NILM. They describe that smears overcalled as HSIL on an atrophic vaginitis slide had more degenerating parabasal cells, necrotic background, and pseudoparakeratotic cells, as well as more inflammation and stripped nuclei and/or nuclear streaks.

Conclusion
The cytology of atrophic Pap smears may depict cells with nucleomegaly, hyperchromasia, and overcrowding with granular debris in the background. This resembles neoplastic changes in most cases, in the absence of atypia on histology. These can be followed up by p16 immunohistochemistry and high-risk human papillomavirus testing, which can be areas for further research. Therefore, we need to be cautious and not overdiagnose epithelial abnormality in Pap smears with atrophy-related changes. The limitations of the present study are that the number of cases with follow-up biopsy reports available after the interpretation of epithelial abnormality or malignancy in the Pap smears was small.
The cervical biopsies were not followed by newer diagnostic entities like high-risk human papillomavirus testing, p16 immunohistochemistry, or proliferation index markers.

Acknowledgement
Not Applicable.

Funding sources
Not Applicable.

Ethical statement
Ethical clearance (Registration number: ECR/747/Inst/KA/2015/RR21) was obtained from the Vydehi Institutional Ethics Committee.

Conflicts of interest
The authors declare that they have no competing interests.

Author contributions
FJU analyzed and interpreted the patient data, including the interpretation of Pap smears and follow-up cervical biopsies. SL performed the cytological examination of Pap smears, and PS performed the histopathological examination of cervical biopsy reports. All the authors read and approved the final manuscript.
 
Research Article: Research Article | Subject: Pathology
Received: 2023/10/11 | Accepted: 2024/04/29 | Published: 2024/12/16 | ePublished: 2024/12/16

References
1. Li Y, ShoyeIe O, Shidham V B. Pattern of cervical biopsy in cases with cervical cytology interpreted as higher than low grade in the background with atrophic cellular changes. CytoJournaI. 2020; 17: 12. [View at Publisher] [DOI] [PMID] [Google Scholar]
2. He WQ, Li C. Recent global burden of cervical cancer incidence and mortality, predictors, and temporal trends. Gynecol Oncol. 2021; 163(3): 583-592. [View at Publisher] [DOI] [PMID] [Google Scholar]
3. Sachan PL, Singh M, Patel ML, Sachan R. A Study on Cervical Cancer Screening Using Pap Smear Test and Clinical Correlation. Asia Pac J Oncol Nurs. 2018; 5(3): 337-341. [View at Publisher] [DOI] [PMID] [Google Scholar]
4. Kumar V, Abbas A, Aster J C. Robbins & Cotran Pathological Basis of Disease. 10th edition. Philadelphia : Elsevier ; 2020: 996-1001. [View at Publisher]
5. Stoler MH, Jenkins D, Bergeron C. The pathology of cervical precancer and cancer and its importance in clinical practice. InHuman Papillomavirus. Academic Press. 2020; 85-109. [View at Publisher] [Google Scholar]
6. DeMay RM. Cytopathology of false negatives preceding cervical carcinoma. Am. J. Obstet. Gynecol. 1996; 175: 1110–1113. [View at Publisher] [DOI] [PMID] [Google Scholar]
7. Nayar R. Wilbur David. The Bethesda system for reporting Cervical Cytology .4th edition. New York and London : Springer ; 2015. pp 18-54. [DOI] [Google Scholar]
8. Vrdoljak-Mozetič D, Štemberger-Papić S, Verša Ostojić D, Rubeša R, Klarić M, Eminović S. Pitfalls in Gynecological Cytology: Review of the Common and Less Frequent Entities in Pap Test. Acta Cytol. 2024; 68(3): 281-298. [View at Publisher] [DOI] [PMID] [Google Scholar]
9. Patton AL, Duncan L, Bloom Phaneuf G, Zafar N. Atypical squamous cells, cannot exclude a high-grade intraepithelial lesion and its clinical significance in postmenopausal, pregnant, postpartum, and contraceptive-use patients. Cancer . 2008; 114:481 - 8. [View at Publisher] [DOI] [PMID] [Google Scholar]
10. Bulten J, de Wilde PC, Boonstra H, Gemmink JH, Hanselaar AG. Proliferation in "atypical" atrophic pap smears. Gynecol Oncol . 2000 ; 79 : 225-9. [View at Publisher] [DOI] [PMID] [Google Scholar]
11. Tabrizi AD. Atrophic Pap smears, differential diagnosis and pitfalls: A review. Int J Women's Health Reprod Sci . 2017 ; 6: 2-5. [View at Publisher] [DOI] [Google Scholar]
12. Crothers BA, Booth CN, Darragh TM, Means MM, Souers RJ, Thomas N, et al. Atrophic vaginitis: Concordance and interpretation of slides in the college of american pathologists cervicovaginal interlaboratory comparison program in gynaecologic cytopathology . Arch Pathol Lab Med . 2012 ; 136 : 1332-8. [View at Publisher] [DOI] [PMID] [Google Scholar]

Add your comments about this article : Your username or Email:
CAPTCHA

Send email to the article author


Rights and permissions
Creative Commons License This work is licensed under a Creative Commons Attribution-NonCommercial 4.0 International License.